لا تعكس الأسنان مظهرا جماليا فحسب، بل يمكن أن تكون مؤشرا مهما على الحالة الصحية العامة للجسم، إذ يشير اختلاف ألوانها إلى اضطرابات أو أمراض قد تصيب الإنسان منذ مرحلة الطفولة وحتى سن متقدمة.
ويقول آلن تشانج، أخصائي تكنولوجيا الأسنان، إن الأسنان قد تكشف علامات تحذير مبكرة إذا ما جرى الانتباه إلى تغير لونها، موضحا أن أدوات التشخيص الحديثة مثل الكاميرات داخل الفم تساعد على رصد هذه التغيرات قبل أن تتطور إلى مشاكل خطيرة، ما يجعل الفحص الدوري أمرا ضروريا لتفادي أمراض أكثر تعقيدا.
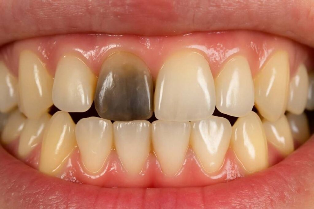
ويرتبط اللون الأصفر في الأسنان غالبا بعادات غذائية كالإفراط في شرب الشاي أو القهوة، لكنه قد يشير أيضا إلى أمراض في الكبد نتيجة تراكم مادة البيليروبين. أما اللون الرمادي الباهت فقد يدل على موت السن بسبب صدمة سابقة أو على أمراض في الجهاز الهضمي مثل الاضطرابات الهضمية التي تؤثر على تكوين مينا الأسنان.
ويضيف تشانج أن البقع البنية قد تكون إنذارا مبكرا لتسوس الأسنان، فيما تشير الخطوط البنية إلى التسمم بالفلورايد نتيجة الإفراط في استخدام منتجات تحتوي عليه مثل معجون الأسنان وغسول الفم، خاصة عند الأطفال الذين يبتلعون هذه المواد.
أما الخطوط الزرقاء أو الرمادية فقد تعود إلى مضادات حيوية استعملت في مرحلة الطفولة وتركت آثارا عميقة في الأسنان النامية، في حين قد يشير اللون الأسود الداكن إلى تسوس متقدم أو موت أنسجة السن، وأحيانا إلى التعرض للمعادن الثقيلة.
كما أن المينا المتبقع، الذي يظهر بشكل غير منتظم في الأسنان، قد يعكس اضطرابات وراثية مثل خلل تكوين المينا، وهو ما يجعل مراقبة هذه العلامات أداة وقائية لفهم المشكلات الصحية في وقت مبكر.

